Small Vessel Diseases (SVDs) Brain Tissue Bank

The Edinburgh Brain Bank (EBB) is Scotland's sole brain bank, collecting tissue from individuals with conditions like multiple sclerosis, motor neurone disease, prion disease, and dementia. This tissue aids researchers worldwide in developing treatments and cures.

Image
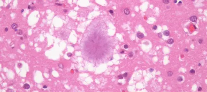
Pink Brain Tissue under microscope

The Edinburgh Brain Bank (EBB) is Scotland's sole brain bank, collecting tissue from individuals with conditions like multiple sclerosis, motor neurone disease, prion disease, and dementia. This tissue aids researchers worldwide in developing treatments and cures.

With over 1000 donations, each examined and diagnosed by a neuropathologist, the EBB relies on the generosity of donors and their families.The bank stores and releases brain samples, including blood and CSF samples for biomarker studies, from well-defined clinical cohorts and controls. All tissues come from fully consented post-mortem examinations, typically of the nervous system, with proper NHS consent or signed informed consent from relatives.

Supporting over 500 translational research studies globally in the past 15 years, the EBB provides tens of thousands of samples, contributing to numerous highly cited publications. While primarily aiding neuroscience and neurodegenerative disorder research, the EBB also supports other fields like cardiac research and facilitated COVID-19 related studies early in the pandemic.

Cerebral small vessel disease (SVD) impacts the brain's white matter and is prevalent in dementia patients. It also appears in stroke, depression, and ageing individuals without obvious cognitive issues. Since animals don't naturally develop SVD, studying human brain tissue is crucial to understanding the disease.

The EBB offers global research groups access to brain tissue and medical data, helping investigate SVD's connections to strokes, brain haemorrhages, and cognitive problems.

Funders

The EBB is funded by the UK Medical Research Council, Alzheimer’s Research UK, and Target ALS.

Related links

Contact the Edinburgh Brain and Tissue Bank