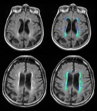
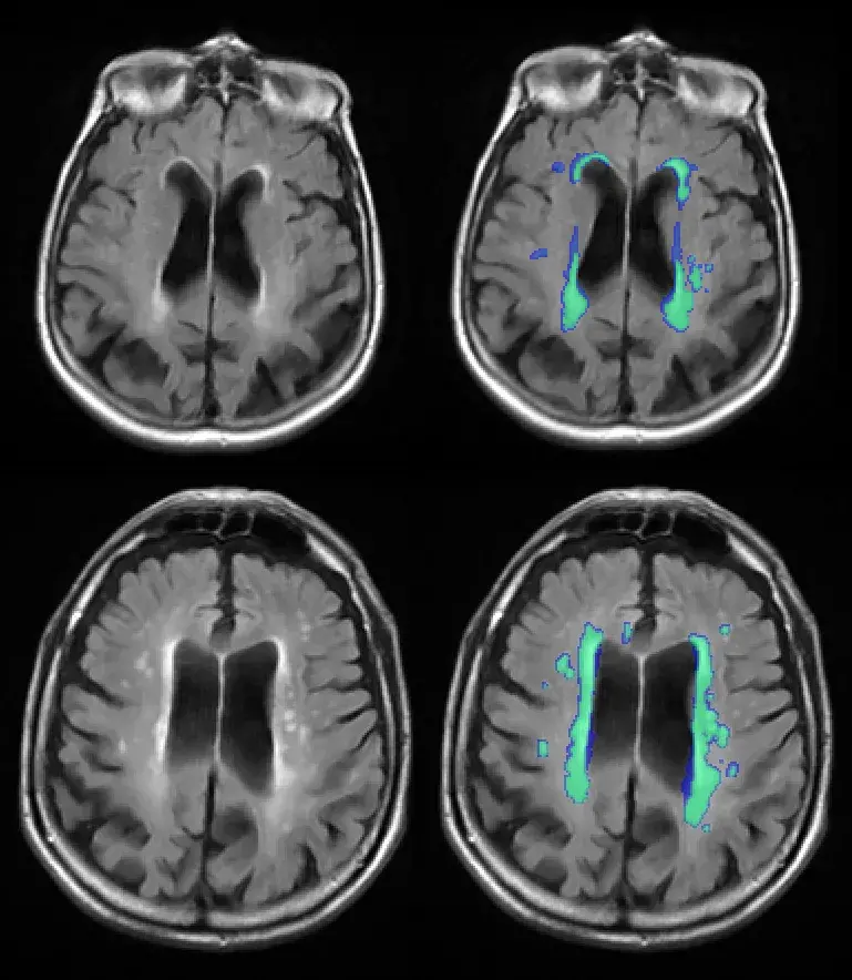
At The Row Fogo Centre for Research into Aging and the Brain, we are dedicated to improving understanding of the brain damage caused by small vessel diseases (SVD) Although SVDs have been recognised to be a main cause of age-related brain diseases such as stroke, dementia and Alzheimer’s disease, there is still very limited understanding of this common disease.We study people to understand how SVD starts and affects them. We use sophisticated medical imaging methods such as magnetic resonance imaging (MRI) to find out about how SVD is affecting the brain and blood vessels. To extract information from the brain MRI, we have developed highly specialised computer methods to analyse the images. The medical analysis tools and image databanks from our studies allow us to improve early detection and diagnosis of SVDs, identify causes and the consequences of SVDs, and to develop methods for prevention and treatment of small vessel diseases (SVDs). Moreover, our research discoveries contribute to advancing understanding other common disorders such as Multiple Sclerosis and Motor Neuron Disease.The Row Fogo Centre for Research into Aging and the Brain aims to promote early career researchers by supporting the development of their research skills in the field of cerebral SVD. With a specific focus on the young researchers, The Row Fogo Centre holds workshops, provides lectures in image analysis, and advice and training. The Row Fogo Centre sponsors events at the University of Edinburgh to exchange knowledge and promote the scientific work of all who are interested in SVDs. Methods developed at the Row Fogo Centre are incorporated into the Imaging MSc, other training programmes and short online courses for future generations of medical professionals. Related links Row Fogo Centre Research Projects Ways to fundraise or make a donation to support our research Impact of your donations on our research Image analysis tools (external link) Training programmes and short online courses in medical imaging (external link) This article was published on 2024-08-27