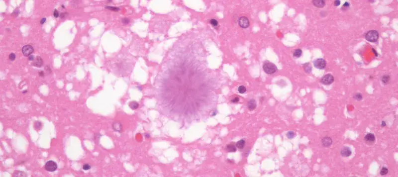
Incidence and diagnosis, cellular mechanisms and pathogenesis of Creutzfeldt-Jakob disease and other prion diseases. The clinical neurologists, neuropathologists and scientists at the National CJD Research and Surveillance Unit, in collaboration with the Roslin Institute, monitor the characteristics of CJD, identify trends in incidence, study risk factors and contribute to improving the quality of care for those with CJD.The Director of the Unit is Prof Colin Smith. The clinical lead is Dr Suvankar Pal.Related LinksNational CJD Research and Surveillance UnitThe Roslin Institute This article was published on 2024-08-27